Skip to content Skip to sidebar Skip to footer

Widget HTML #1

Diploider Chromosomensatz : Natalie Maria Pr Fungsvorbereitung Eob - Einen satz mit 23 chromosomen ihres vaters und einen satz mit 23 chromosomen ihrer mutter.

Diploider Chromosomensatz : Natalie Maria Pr Fungsvorbereitung Eob - Einen satz mit 23 chromosomen ihres vaters und einen satz mit 23 chromosomen ihrer mutter.. Wobei das jeweils chromosomenpaare sind. In den körperzellen hast du aber einen diploiden chromosomensatz. Menschen sind diploide organismen, die normalerweise zwei vollständige chromosomensätze in ihren körperzellen tragen: Haploid und diploid sind chromosomensätze. Jan wolkenhauer erklärt in dieser folge den unterschied zwischen haploiden und diploiden zellen.

Drei oder mehr chromosomensätze in einer zelle. Sodass ein gesamter satz an chromosomen (=diploider chromosomensatz) in beiden zellen vorhanden ist. Kommt zum beispiel bei riesenzellen vor. Einer stammt aus dem spermium des vaters, der andere aus der eizelle der mutter (beim menschen stammen z. Haploid ist der einfache chromosomensatz, so wie er in den keimzellen vorkommt.

Sex Geschlechtlichkeit Physiologie
Sex Geschlechtlichkeit Physiologie from physiologie.cc
Learn vocabulary, terms and more with flashcards, games and other study tools. Wenn du noch schneller lernen willst, schau dir einfach dieses video dazu an! In den körperzellen hast du aber einen diploiden chromosomensatz. Kommt in normalen körperzellen vor. Doppelter chromosomensatz, beim menschen 46 chromosomen. In den körperzellen der meisten organismen sind die chromosomen paarweise vorhanden. Bluttropfen werden in nährlösung gegeben. Das gleiche gilt für die beiden geschlechtschromosomen:

Bei einer mitose entstehen aus einer zelle zwei identische tochterzellen mit diploidem (doppeltem) chromosomensatz.

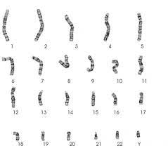
Fast alle wirbeltiere besitzen zwei chromosomensätze: Chromosomensatz — haploide, diploide und hexaploide zellkerne als polyploidie bezeichnet man in der biologie das bei manchen arten zu beobachtende phänomen, mehr als zwei sätze von chromosomen in den zellen zu besitzen. Bei einer mitose entstehen aus einer zelle zwei identische tochterzellen mit diploidem (doppeltem) chromosomensatz. Alles, was sie schon immer wissen wollten. Jeweils 23 chromosomen stammen von der mutter und vom vater. Man spricht hier von einem doppelten (diploiden) chromosomensatz. Diploĩ ‚doppelheit') wird in der genetik gesprochen, wenn in einem zellkern ein zweifacher chromosomensatz (2n) vorliegt. Jan wolkenhauer erklärt in dieser folge den unterschied zwischen haploiden und diploiden zellen. Also jedes chromosom kommt 2mal vor (einmal von der mutter und einmal vom vater). Jedes chromosomenpaar besteht aus zwei gleichen chromosomen. Wobei das jeweils chromosomenpaare sind. Chromosom 1, chromosom 2 und so weiter bis chromosom 22 in jeweils. Ein einfacher (haploider) chromosomensatz enthält jedes chromosom einmal, ein doppelter (diploider) chromosomensatz zweimal.

Folgende aberrationen sind dabei vorrangig zu nennen Also jedes chromosom kommt 2mal vor (einmal von der mutter und einmal vom vater). Haploid ist der einfache chromosomensatz, so wie er in den keimzellen vorkommt. Das gleiche gilt für die beiden geschlechtschromosomen: Was ist ein diploider chromosomensatz?

Was Ist Ein Diploider Chromosomensatz
Was Ist Ein Diploider Chromosomensatz from memucho.de
Dessen zahl an chromosomen ist doppelt so groß wie die eines einfachen chromosomensatzes (1n). Also jedes chromosom kommt 2mal vor (einmal von der mutter und einmal vom vater). Chromosomensatz — haploide, diploide und hexaploide zellkerne als polyploidie bezeichnet man in der biologie das bei manchen arten zu beobachtende phänomen, mehr als zwei sätze von chromosomen in den zellen zu besitzen. Was genau das bedeutet und wo das eine rolle spielt, erfährst du in diesem artikel! Alles, was sie schon immer wissen wollten. Chromosomensatz frau,doppelter chromosomensatz,chromosomensatz geschlechtszellen,diploider chromosomensatz definition,haploider chromosomensatz,homologer chromosomensatz,chromosomenzahl mensch,chromosomenpaar kurs download chromosomen. In den körperzellen hast du aber einen diploiden chromosomensatz. Folgende aberrationen sind dabei vorrangig zu nennen

Kommt zum beispiel bei riesenzellen vor.

Chromosomensatz — haploide, diploide und hexaploide zellkerne als polyploidie bezeichnet man in der biologie das bei manchen arten zu beobachtende phänomen, mehr als zwei sätze von chromosomen in den zellen zu besitzen. Alles, was sie schon immer wissen wollten. Man spricht hier von einem doppelten (diploiden) chromosomensatz. Was ist ein diploider chromosomensatz? Dieser diploide chromosomensatz besteht aus 22 paaren an autosomen, wobei jeweils ein chromosom von der mutter und ein chromosom vom vater abstammt. Du hast prinzipiell erst einmal recht, dass die information 4fach vorhanden sind. Nur mit chromosomensatz, n, c und diploid und haploid haperts noch. Geromovieoriginal 113.971 views5 years ago. Einer stammt aus dem spermium des vaters, der andere aus der eizelle der mutter (beim menschen stammen z. Was genau das bedeutet und wo das eine rolle spielt, erfährst du in diesem artikel! Die begriffe haploid und diploid beschreiben die anzahl an chromosomensätzen. Kommt in normalen körperzellen vor. Fast alle wirbeltiere besitzen zwei chromosomensätze:

Diploĩ ‚doppelheit') wird in der genetik gesprochen, wenn in einem zellkern ein zweifacher chromosomensatz (2n) vorliegt. Haploid ist der einfache chromosomensatz, so wie er in den keimzellen vorkommt. Der chromosomensatz einer menschlichen körperzelle besteht aus 46 chromosomen. Drei chromosomensätze, beispielsweise bei einigen bärtierchen (tardigrada). Nur mit chromosomensatz, n, c und diploid und haploid haperts noch.

Haploider Oder Diploider Chromosomensatz Meinunterricht
Haploider Oder Diploider Chromosomensatz Meinunterricht from s3.eu-central-1.amazonaws.com
Zeichne die mitose eines hypothetischen diploiden organismus mit haploidem chromosomensatz von 1. Jedes chromosomenpaar besteht aus zwei gleichen chromosomen. Bei einer mitose entstehen aus einer zelle zwei identische tochterzellen mit diploidem (doppeltem) chromosomensatz. Man spricht hier von einem doppelten (diploiden) chromosomensatz. Alles, was sie schon immer wissen wollten. Man spricht hier von einem doppelten, auch diploiden, chromosomensatz (2n), den alle kernhaltigen körperzellen haben. Ab drei chromosomensätzen spricht man von polyploidie: Learn vocabulary, terms and more with flashcards, games and other study tools.

Dieser diploide chromosomensatz besteht aus 22 paaren an autosomen, wobei jeweils ein chromosom von der mutter und ein chromosom vom vater abstammt.

Wenn du noch schneller lernen willst, schau dir einfach dieses video dazu an! Jeweils 23 chromosomen stammen von der mutter und vom vater. Chromosomensatz — haploide, diploide und hexaploide zellkerne als polyploidie bezeichnet man in der biologie das bei manchen arten zu beobachtende phänomen, mehr als zwei sätze von chromosomen in den zellen zu besitzen. In den körperzellen der meisten organismen sind die chromosomen paarweise vorhanden. Bluttropfen werden in nährlösung gegeben. Einer stammt aus dem spermium des vaters, der andere aus der eizelle der mutter (beim menschen stammen z. Haploid und diploid sind chromosomensätze. Denn ich habe jetzt folgende probeprüfungsfrage gelesen: Kommt in normalen körperzellen vor. Alles, was sie schon immer wissen wollten. Man spricht hier von einem doppelten, auch diploiden, chromosomensatz (2n), den alle kernhaltigen körperzellen haben. Haploider chromosomensatz ist ein einfacher chromosomensatz mit 23 chromosomen, der meistens in keimzellen vorkommt. Kommt zum beispiel bei riesenzellen vor.

Du hast prinzipiell erst einmal recht, dass die information 4fach vorhanden sind diplo. Einen satz mit 23 chromosomen ihres vaters und einen satz mit 23 chromosomen ihrer mutter.